星野歯科駒沢クリニック
HOSHINO DENTAL KOMAZAWA CLINIC
星野歯科駒沢クリニックの星野です。
今年も多くの方にインプラント治療で来院していただきました。ありがとうございます。
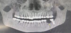
午前中のオペ
左下6番欠損に対してストローマンBLXインプラントを植立しました。
直径6.5×6mm 骨が少なくても刺さりますね。
午後のオペ
右下5、6番の欠損に対してストローマンSPインプラントを植立しました。
大体毎回1本10分間ぐらいで終わります。 今回は2本で20分間です。
53
2025.07.06
当医院の得意とする治療 0.9kview
2022.12.16
最近試してみたこと 807view
2024.10.09
アクティリンクリボーン導入後の結果 771view
2022.11.15
診療時間のお知らせ 634view
クリニックについて
CLINIC OVERVIEW
料金表
PRICE LIST