2026.02.08
星野歯科駒沢クリニックの星野です。
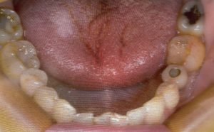
予後32年のインプラント


久しぶりに32年前にオペをした患者さんがいらっしゃいました。自分の一番古い症例です。その当時、インプラント治療は大丈夫なのかと言われていた時代です。今ではどこの歯科医院でもインプラント治療をしているのが嘘のようです。
インターネットが始まったばかりで、大企業でもホームページがない時代です。
その1本目から始めて合計で6000〜7000本ぐらいの経験になりました。
View数
72
カテゴリーアーカイブ
月別アーカイブ