予防歯科
PREVENTIVE DENTISTRY
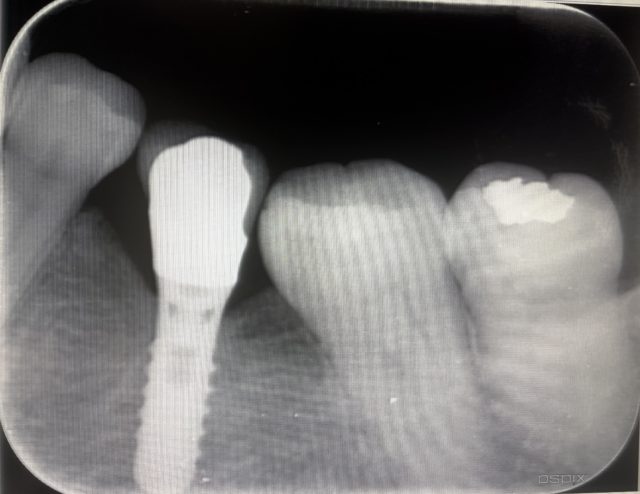
インプラント
DENTAL IMPLANT
矯正歯科
DENTAL ORTHODONTIC
審美歯科
ESTHETIC DENTISTRY
ニュース&トピックス
2026.04.07
使う準備はできていますか?お手元に、マイナ保険証か資格確認書を
2026.04.06
GWのお知らせ
2025.11.11
提携駐車場のお知らせ
2025.07.06
当医院の得意とする治療
院長ブログ
2026.04.23
インプラント治療の良さとリスク管理
2026.04.20
チャレンジ富士ウルトラマラソン
2026.04.17
自分の健康あっての他人の健康を戻す事
2026.03.20
静岡マラソン
プログラミングと歯科治療
2025.03.12
プログラミング && 歯科治療
スタッフブログ
2026.04.24
RANDY’S DONUTS×chatGPT
2026.03.23
原因を止める
クリニックについて
CLINIC OVERVIEW
料金表
PRICE LIST